Fain Dental Arts
Sylvan Fain DDS

Cosmetic Bonding

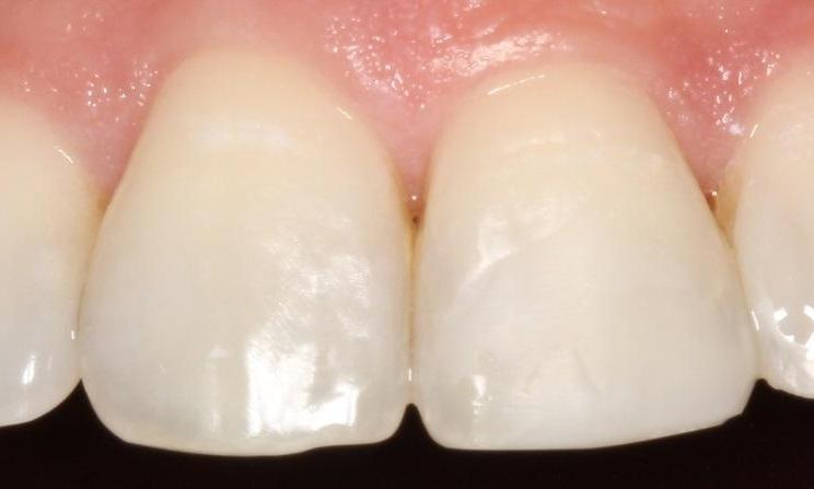
The Diagnosis:

This 36-year-old man presented with discolored and aged bonding and a fracture to one tooth

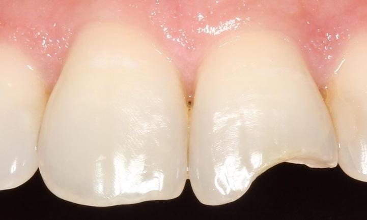
The Treatment:

Tooth-colored filling material was placed to replace the broken tooth fragment and the bonding was redone to better match his current tooth color.

 

The Duration:

This was completed in 1 visit

The Cost:

$275 to $750 depending upon how involved the treatment is and how much work has to be done to prepare the tooth for bonding.

Not finding what you need?
If you have difficulty using our website, please email us or call us at (305) 891-2621
View the ADA Accessibility Statement
Privacy Policy