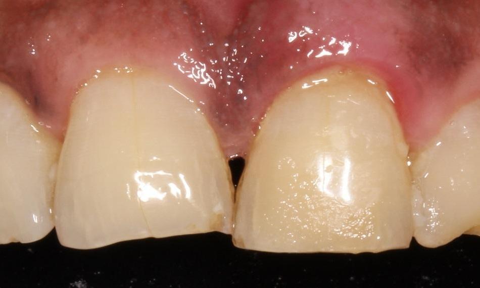
The Diagnosis:
This 66 year old male came in with wear, chipping and one hopeless front tooth that could not be repaired and required extraction.
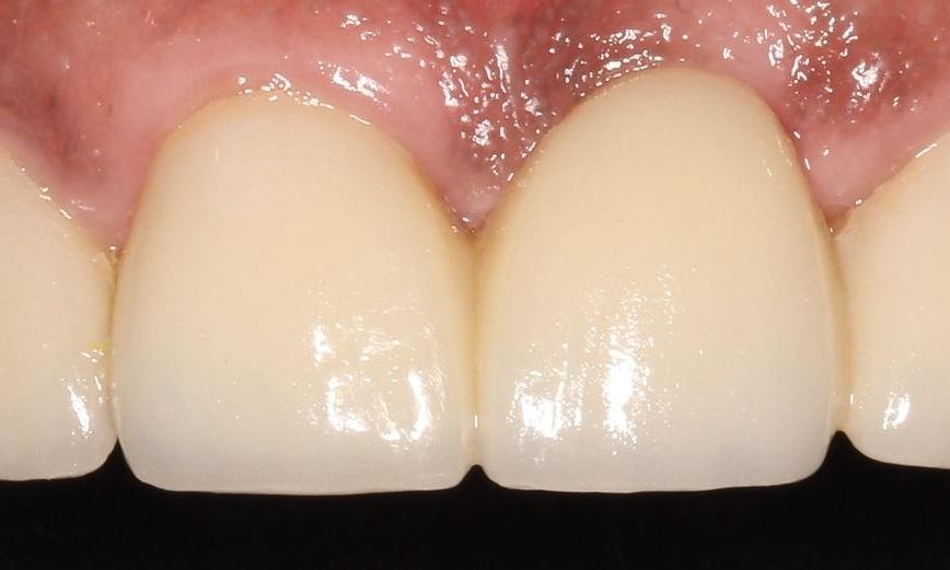
The Treatment:
We created a fixed porcelain bridge and one porcelain veneer to smooth the teeth, replace the removed tooth, and restore the smile
The Duration:
3 Visits over 4 months
The Cost:
The cost for this procedure starts at about $3,000 - but can vary depending upon how many teeth are involved and how much damage there is. Every case is different. Contact us for a consultation to get pricing for your unique needs.