Fain Dental Arts
Sylvan Fain DDS

Porcelain Veneers & Crowns

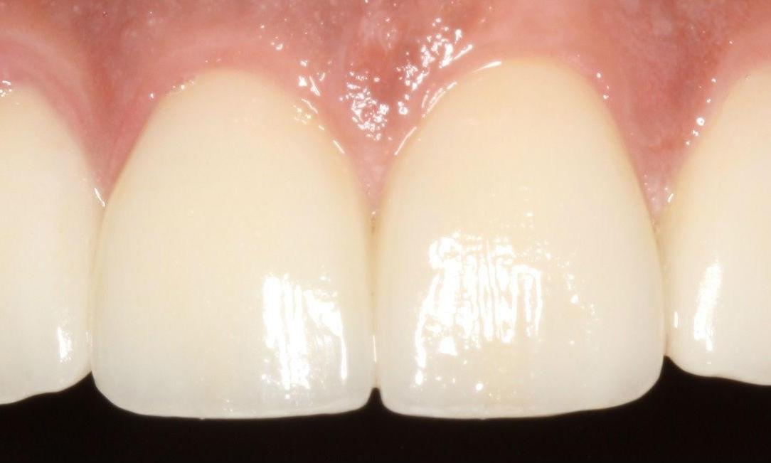
32 year old male was in an accident several years ago. While it is tough to tell from the photographs, one tooth is darker than the others and a previously placed porcelain crown was giving an unnatural appearance in certain lighting conditions. Two porcelain crowns and two porcelain veneers were placed to give the smile a uniform appearance in shape and color.
Want to book an appointment?
If you have difficulty using our website, please email us or call us at (305) 891-2621
View the ADA Accessibility Statement