Fain Dental Arts
Sylvan Fain DDS
Fain Dental Arts
Sylvan Fain DDS
Schedule an Appointment
Like us on Facebook
Follow us on Twitter
Visit us on Yelp
Watch our Youtube Videos
Leave a Google Review
Pin us on Pinterest
Instagram
Review us on Angie's List
(305) 891-2621
11645 Biscayne Blvd Suite 407, North Miami, FL 33181
11645 Biscayne Blvd, Suite 407,
North Miami, FL 33181
Home
About
Our Team
Dr. Sylvan Fain
Dr. David Skaff
Dr. Matthew Fien
Front Desk Team
Technology
Services
View All
Dental Implants
All-on-4® Dental Implants
Bonding & Tooth-Colored Fillings
Cosmetic Dentistry
Crowns & Bridges
Emergency Dentistry
Full & Partial Dentures
General Dentistry
Invisalign Dentist & Invisible Braces
Porcelain Veneers
Teeth Whitening
Smile Gallery
Testimonials
Forms
FAQs
View All
Other
Cosmetic Dentistry
Emergency Dentistry
General Dentistry
Porcelain Veneers
Virtual Consult
Financial
Contact
Fain Dental Arts
>
Smile Gallery
>
Smile Makeover Veneers
Smile Makeover Veneers
Return to Smile Gallery
Previous
Next
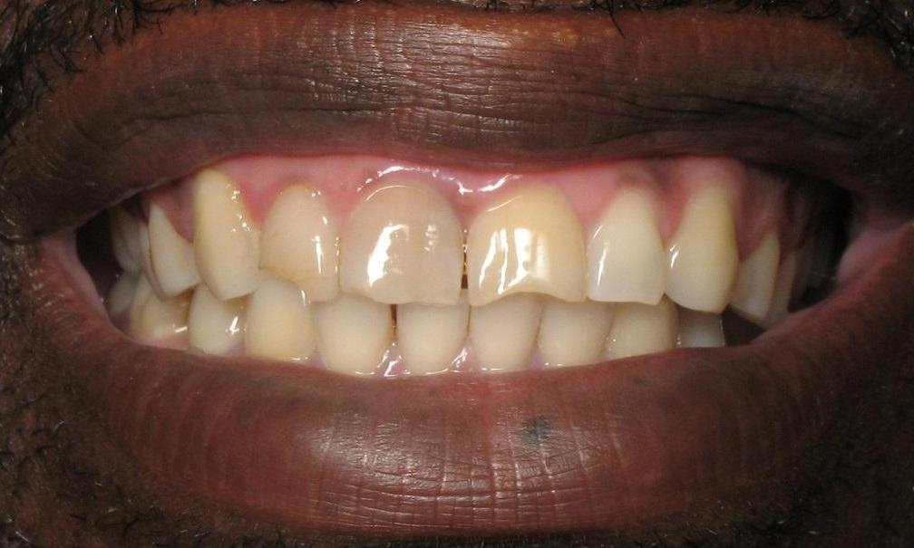
A 33 year old male had dark discolored and chipped teeth. Porcelain veneers were placed on the front teeth and teeth whitening was performed to improve the smile.
Related Services:
Porcelain Veneers
Click image to see a larger picture
Before
After
Getting an appointment is
fast
and
easy
!
Get Started!
If you have difficulty using our website, please
email us
or call us at
(305) 891-2621
View the
ADA Accessibility Statement
Turn on ADA Views
Privacy Policy
OK!
×
×
Contact Us Today
Give Us A Call
Fain Dental Arts -
(305) 891-2621
Send Us an Email
Ready to Schedule an Appointment?
Book Online
Have Questions? Contact Us:
Required Field
Your Name:
Phone:
Email:
Are you a new patient?:
Are you a?
New Patient
Current Patient
How would you like us to contact you?
Please choose
Email
Call
How did you hear about us?
Please choose
I'm an existing patient
Google/Bing
Mailer
Word of mouth
Social media
Other
Who Referred You?:
Your Message:
This site is protected by reCAPTCHA and the Google
Privacy Policy
and
Terms of Service
apply.
Sending...
×
This Patient's Experience
Loading Testimonial...
Loading Case...